<<<
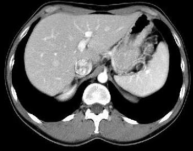
Compare
the pathological image-left and the physiological image-right
(blinded)
<<
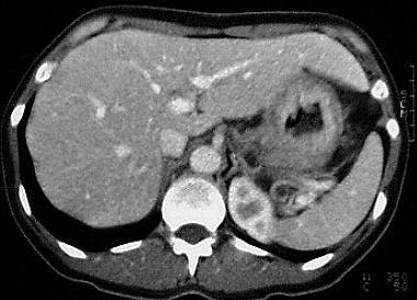
F:
Thickening
of the wall
of the whole stomach.
H:
Adult
woman, 52-years-old, weight loss.
INFO/WWW-LINKS:
The incidence of gastric
cancer decreases. Carcinoma of the somach involves in 50% the pylorus,
25% the lesser curve and in 10% the cardia. These usually adenocarcinomas
may be a polypoid intramural mass, noninfiltrating but ulcerating, infiltrating
and ulcerating, diffuse infiltrating process (linitis plastica). Predisposing
factors: H. pylori, adenomatous polyps, pernicious anaemia, atrophic gastritis
D:
Carcinoma of
the stomach (linitis plastica)
IN
THIS PART OF THE PAGE YOU FIND SOME TEXT FIELDS WHICH CAN BE OPENED EIGTHER
STEP BY STEP (CLICK ON "HISTORY", "HELP", "FINDINGS",
"DIAGNOSIS" OR "INFO/WWW-LINKS") OR AT ONCE WITH A CLICK
ON "ALL ON" - VICE VERSA CLICK ON "ALL OFF".
It is not
easy to find an exactly corresponding slice to every pathological example!
For that reason the
FILM
(2)
is
recommended!
Once opened you may use it for every pathological example.
If you need a physiological
image to compare click here